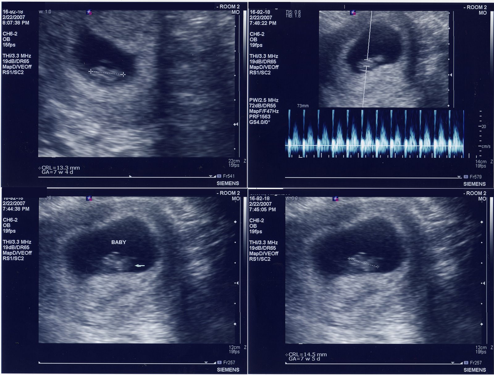
Well, sort of! I can’t believe it’s been a year since we found out we were pregnant. I think Claire’s changed quite a bit since then and she’s certainly more photogenic. So here’s a blast from the past – one of our first ultrasound images where Claire (then known as “bean”) measured a whopping 13 mm (half an inch).
These are the ultrasound images we used to surprise the Grealis and Seamon clans with our news. We wrapped them up with a ribbon and put them on dinner plates.
My how she’s grown!
